Six Mind-Blowing Brain Studies In 2023 That Stunned Researchers

hero brain 4961452 1920
In 2023, the good old gray matter that we call (and oftentimes take for granted) the cerebrum managed to stun scientists and researchers by unravelling more of its complex inner mysteries. Ranging from discovering parts of the brain to more detailed neuron maps, the discoveries keep rolling in. Here are six of our favorite cranial studies from last year.

Menstruation And Brain Structural Change

An initial anatomic study has found that the hormonal shift during a woman's menstrual cycle causes measurable changes across the entire brain. Changes in the brain's white matter structure and thickness of the gray matter were found as hormone concentrations fluctuated, although it's still unknown what effect these alterations have on cognition or the risk of brain diseases, such as Alzheimer's, which is more common in women than in men.

insect map
Brain map of larval fruit fly (Credit: Johns Hopkins University/University of Cambridge)

Most Complete 3D Insect Connectome

The humble fruit fly became an overnight sensation when new electron microscope and splicing techniques revealed a complete map of the insect's brain—all 3,016 of its neurons. Taking 12 years to complete, researchers were able to show a 3D brain map (or connectome) of the physical connections between 3,016 neurons and 548,000 synaptic sites. Through the map, the research team found that the neural pathways are super dense between hemispheres (facilitating substantial interhemispheric communication), while synapses in some areas of the brain to be repetitive and reinforced. This could also lead to improvements in how AI neural networks and robotics are developed. 

sexdrivemice

Highlighted area of male mouse brain that regulate sexual behavior (Credit: Dr. Daniel Bayless, Shah Lab)

Sex Drive Switch In Mouse Brains

Scientists identified a group of neurons responsible for regulating sexual behavior in male mice. Basically, it's a libido switch that kicks desire for sex into overdrive when activated. While a similar human circuitry has yet to be found, scientists believe that this discovery can lead to studies into improving libido loss in men through development of new drug treatments.

Spiral Signals In Human Brain

Through functional magnetic resonance imaging (fMRI), mysterious spiraling brain waves have been discovered across the outer layer of the brain. Researches believe that these vortices could be used to link various parts of the brain and hasten information processing. If so, future studies could use these spiral signals to determine brain impairments such as dementia.

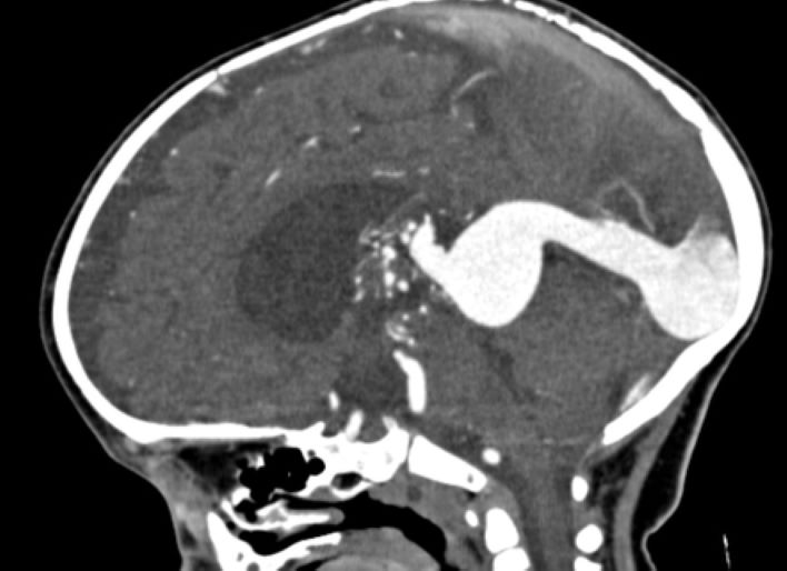
vogm
Vein of Galen malformation

Game-Changing In Utero Brain Surgery

In March, doctors in Boston performed the world's first repair of a rare brain condition—known as vein of Galen malformation—to an unborn child. The successful procedure was performed while the baby was still in utero, giving the child a greatly improved chance of leading a healthier life. Before this, treatment of this brain malformation after birth could lead to permanent damage or even prove fatal.

Humans And Squid Brains Are Alike

Despite a 500 million year divergence in evolution, scientist discovered that squid embryo brains share very similar retinal development as humans. To wit, squid embryo progenitor cells arrange themselves a long structure called the pseudostratified epithelium, which ultimately forms as a crucial step in the growth of large, complex tissue. The size, organization, and movement of the structure's nucleus was found to be remarkably similar to the growth of neural epitheliums (brain and eyes) in vertebrates, like humans.
Tags:  brain, 2023, best-of
AL

Aaron Leong

Tech enthusiast, YouTuber, engineer, rock climber, family guy. 'Nuff said.